Resultados
Galería de resultados

Odontología estética
Carillas de Porcelana
Odontología estética
Procedimiento Carillas
Odontología estética
Carillas — Modelo y Resultado

Odontología estética
Sonrisa Diseñada
Odontología estética
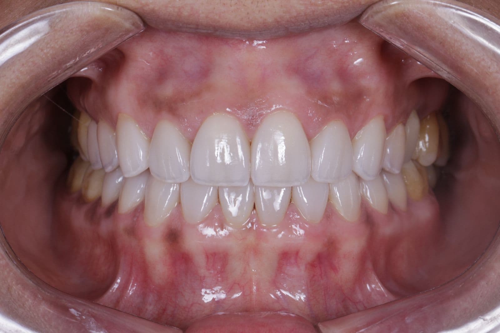
Carillas Intraoral
Odontología estética
Sonrisa Masculina